하루네이트
하루네이트
더 밝고 자신있게
하루네이트란?
하루네이트는 불필요한 치아 삭제 없이 자연 치아와 가장
유사한 물성을 지닌 재료를 사용해 손상된 치아를 회복하거나
심미적인 문제를 개선할 수 있는 프로그램입니다.
이를 통해 자연 치아와 거의 동일한 형태와 기능을 재현할 수
있어, 치아의 본래 구조와 건강을 보존하면서도 아름답고
자연스러운 미소를 되찾을 수 있습니다.
하루네이트는 불필요한 치아 삭제 없이 자연 치아와 가장 유사한 물성을 지닌 재료를 사용해 손상된 치아를 회복하거나 심미적인 문제를 개선할 수 있는 프로그램입니다.
이를 통해 자연 치아와 거의 동일한 형태와 기능을 재현할 수 있어, 치아의 본래 구조와 건강을 보존하면서도 아름답고 자연스러운 미소를 되찾을 수 있습니다.
건강하고
아름답게
건강하고
아름답게
건강하고
아름답게
하루플란트치과의 하루네이트 치료는 정밀한 진단과 맞춤형 보철 솔루션을 통해 치아와 잇몸의 건강을 지키고, 환자 개개인의 얼굴 비율과 조화를 이루는 심미적 개선을 추구하여 단순한 외형 개선이 아닌, 건강한 치아를 바탕으로 환자에게 자신감 있는 미소와 삶의 질 향상을 선사하는 것을 철학으로 삼고 있습니다.
하루플란트치과의 하루네이트 치료는 정밀한 진단과 맞춤형 보철 솔루션을 통해 치아와 잇몸의 건강을 지키고, 환자 개개인의 얼굴 비율과 조화를 이루는 심미적 개선을 추구하여 단순한 외형 개선이 아닌, 건강한 치아를 바탕으로 환자에게 자신감 있는 미소와 삶의 질 향상을 선사하는 것을 철학으로 삼고 있습니다.
하루플란트치과의 하루네이트 치료는 정밀한 진단과 맞춤형 보철 솔루션을 통해 치아와 잇몸의 건강을 지키고, 환자 개개인의 얼굴 비율과 조화를 이루는 심미적 개선을 추구하여 단순한 외형 개선이 아닌, 건강한 치아를 바탕으로 환자에게 자신감 있는 미소와 삶의 질 향상을 선사하는 것을 철학으로 삼고 있습니다.

자연 치아를 보존하는
하루네이트
하루네이트는 자연 치아를 최대한 보존하고 치아를 정돈하며 보철물과의 정확한 결합을 위해 치아 표면을 미세하게
다듬어 부착하여 심미적 완성도를 높이는 데 중점을 둡니다.
하루네이트는 자연 치아를 최대한 보존하고 치아를 정돈하며 보철물과의 정확한 결합을 위해 치아 표면을 미세하게 다듬어 부착하여 심미적 완성도를 높이는 데 중점을 둡니다.


최소한의 치아 정돈
최소한의 치아 정돈
최소한의 치아 정돈
2D·3D 시뮬레이션을 통해 치아 정돈량을
예측하여 자연 치아를 최대한 보존합니다.
2D·3D 시뮬레이션을 통해 치아 정돈량을 예측하여 자연 치아를 최대한 보존합니다.
2D·3D 시뮬레이션을 통해 치아 정돈량을
예측하여 자연 치아를 최대한 보존합니다.


치아와 완벽하게 결합
치아와 완벽하게 결합
치아와 완벽하게 결합
4D 시뮬레이션을 통한 최종 디자인을
확인한 후 정교하게 완성된 하루네이트를
부착합니다.
4D 시뮬레이션을 통한 최종 디자인을 확인한 후 정교하게 완성된 하루네이트를 부착합니다.
4D 시뮬레이션을 통한 최종 디자인을 확인한 후
정교하게 완성된 하루네이트를 부착합니다.
하루네이트
이런 분들께 추천드립니다

누런 치아(색상 개선)
선천적 또는 후천적 요인으로 인해 치아 변색, 착색, 흰 점 등 색상 문제가 발생할 수 있습니다.

누런 치아(색상 개선)
선천적 또는 후천적 요인으로 인해 치아 변색, 착색, 흰 점 등 색상 문제가 발생할 수 있습니다.

앞니 충치
앞니 충치는 치아 사이에서 주로 발생하며, 손상된 치아의 기능과 심미적 복원이 필요합니다.

앞니 충치
앞니 충치는 치아 사이에서 주로 발생하며, 손상된 치아의 기능과 심미적 복원이 필요합니다.

벌어진 치아
치주가 좋지 않거나 뼈의 크기에 비해 치아 크기가 작을 경우, 치아 사이가 벌어집니다.

벌어진 치아
치주가 좋지 않거나 뼈의 크기에 비해 치아 크기가 작을 경우, 치아 사이가 벌어집니다.

왜소치
선천적으로 치아의 크기가 작은 경우로 왜소치가 있을 경우 치아가 벌어져 보일 수 있습니다.

왜소치
선천적으로 치아의 크기가 작은 경우로 왜소치가 있을 경우 치아가 벌어져 보일 수 있습니다.

나비 치아
앞니가 나비 형태처럼 틀어져 웃거나 말할 때 심미적으로 부자연스러운 인상을 줄 수 있습니다.

나비 치아
앞니가 나비 형태처럼 틀어져 웃거나 말할 때 심미적으로 부자연스러운 인상을 줄 수 있습니다.

오래된 보철
과거에 장착한 보철물이 마모되면서 치근이 패이고 금이 가는 등 교체가 필요한 상황입니다.

오래된 보철
과거에 장착한 보철물이 마모되면서 치근이 패이고 금이 가는 등 교체가 필요한 상황입니다.

누런 치아(색상 개선)
선천적 또는 후천적 요인으로 인해 치아 변색, 착색, 흰 점 등 색상 문제가 발생할 수 있습니다.

벌어진 치아
치주가 좋지 않거나 뼈의 크기에 비해 치아 크기가 작을 경우, 치아 사이가 벌어집니다.

나비 치아
앞니가 나비 형태처럼 틀어져 웃거나 말할 때 심미적으로 부자연스러운 인상을 줄 수 있습니다.

오래된 보철
과거에 장착한 보철물이 마모되면서 치근이 패이고 금이 가는 등 교체가 필요한 상황입니다.

왜소치
선천적으로 치아의 크기가 작은 경우로 왜소치가 있을 경우 치아가 벌어져 보일 수 있습니다.

앞니 충치
앞니 충치는 치아 사이에서 주로 발생하며, 손상된 치아의 기능과 심미적 복원이 필요합니다.
하루플란트치과의
빠르고 정밀한 디지털 프로세스
하루플란트치과의
빠르고 정밀한 디지털 프로세스
하루네이트는 환자의 구강 구조와 얼굴형의 조화를
세밀하게 분석하여 기능성과 심미성을 모두 만족시키는
최상의 치료 결과를 제공하며, 모든 진료 과정은 첨단 장비를
통해 디지털화되어 신속하고 정확하게 이루어 집니다.
하루네이트는 환자의 구강 구조와 얼굴형의 조화를 세밀하게 분석하여 기능성과 심미성을 모두 만족시키는 최상의 치료 결과를 제공하며, 모든 진료 과정은 첨단 장비를 통해 디지털화되어 신속하고 정확하게 이루어 집니다.
하루네이트
프로그램 과정 안내
하루네이트 프로그램은 환자 맞춤형 치료를 위해
단계별로 구성된 시스템입니다.
환자의 구강과 안모를 정밀 진단한 후, 2D·3D·4D 시뮬레이션을
거쳐 얼굴과의 자연스러운 조화를 고려한 디자인을 확정하고,
이를 하루플란트 디지털 기공센터의 CAD/CAM을 통해 정밀하게 제작합니다.
하루네이트 프로그램은 환자 맞춤형 치료를 위해
단계별로 구성된 시스템입니다.
환자의 구강과 안모를 정밀 진단한 후, 2D·3D·4D 시뮬레이션을 거쳐 얼굴과의 자연스러운 조화를 고려한 디자인을 확정하고, 이를 하루플란트 디지털 기공센터의 CAD/CAM을 통해 정밀하게 제작합니다.
01. 구강 및 안모 진단
01. 구강 및 안모 진단


정확한 치아 상태를 파악하기 위해 엑스레이, 안모, 구강 촬영을 진행합니다. 비대칭, 축의 틀어짐 등이 있는 경우, 정밀 진단을 위해 3D 안모 스캔을 진행합니다.
정확한 치아 상태를 파악하기 위해 엑스레이, 안모, 구강 촬영을 진행합니다. 비대칭, 축의 틀어짐 등이 있는 경우, 정밀 진단을 위해 3D 안모 스캔을 진행합니다.
02. 2D·3D·4D 시뮬레이션 디자인
02. 2D·3D·4D 시뮬레이션 디자인


2D·3D 시뮬레이션 디자인
안모 사진, 구강 사진, 3D 안모 데이터를 기반으로 얼굴과 조화로운 하루네이트의 비율, 모양, 위치, 잇몸 라인을 디자인합니다.
2D·3D 시뮬레이션 디자인
안모 사진, 구강 사진, 3D 안모 데이터를 기반으로 얼굴과 조화로운 하루네이트의 비율, 모양, 위치, 잇몸 라인을 디자인합니다.


4D 시뮬레이션 디자인
하루네이트 제작 전 모의 장착을 통해 형태를 확인하고 고객의 의견을 반영하여 최종 디자인을 결정합니다.
4D 시뮬레이션 디자인
하루네이트 제작 전 모의 장착을 통해 형태를 확인하고 고객의 의견을 반영하여 최종 디자인을 결정합니다.
03. 하루네이트 디자인
03. 하루네이트 디자인


하루네이트 제작 전, 모의 장착을 통해 형태를 확인하고 고객의 의견을 반영하여 최종 디자인을 결정합니다.
하루네이트 제작 전, 모의 장착을 통해 형태를 확인하고 고객의 의견을 반영하여 최종 디자인을 결정합니다.
04. 하루네이트 제작
04. 하루네이트 제작


3D 프린터로 제작한 구강 모형을 기반으로 정확한 적합성을 확인한 후, 디자인된 캐드 데이터를 밀링 머신에 전송하여 보철물을 제작합니다.
3D 프린터로 제작한 구강 모형을 기반으로 정확한 적합성을 확인한 후, 디자인된 캐드 데이터를 밀링 머신에 전송하여 보철물을 제작합니다.
05. 하루네이트 가공
05. 하루네이트 가공


폴리싱 작업으로 표면을 매끄럽게 하고 글레이징 작업으로 광택을 더해 심미적 완성도를 높입니다. 필요시 세라믹 작업을 진행합니다.
폴리싱 작업으로 표면을 매끄럽게 하고 글레이징 작업으로 광택을 더해 심미적 완성도를 높입니다.
필요시 세라믹 작업을 진행합니다.
06. 하루네이트 결합
06. 하루네이트 결합


제작된 하루네이트와 치아의 완벽한 결합을 위해 최소한의 표면 처리를 거친 뒤, 치아에 하루네이트를 정확히 접착합니다. 결합 후에는 치아 전반의 교합 상태를 검토합니다.
제작된 하루네이트와 치아의 완벽한 결합을 위해 최소한의 표면 처리를 거친 뒤, 치아에 하루네이트를 정확히 접착합니다. 결합 후에는 치아 전반의
교합 상태를 검토합니다.
07. 스마일 트레이닝
07. 스마일 트레이닝


치료 후에는 지속적인 관리에 필요한 올바른 식습관, 칫솔질 교육과 변화된 하루네이트 라인에 조화로운 스마일 트레이닝이 이루어집니다.
치료 후에는 지속적인 관리에 필요한 올바른 식습관, 칫솔질 교육과 변화된 하루네이트 라인에 조화로운 스마일 트레이닝이 이루어집니다.

정밀한 스캔, 제작 그리고 결합
정밀한 스캔, 제작
그리고 결합
정밀함이 치료 전반에 깃든
하루네이트
정밀함이 치료 전반에 깃든
하루네이트
하루네이트는 치료의 처음부터 끝까지 정밀한 시스템으로
진행됩니다. 정확한 3차원 구강 스캔, 초정밀 디지털 기공,
그리고 완벽한 치아 결합 기술까지. 구강 내 오차를 최소화하고 보철물의 완성도와 장기 안정성을 극대화합니다.
하루네이트는 치료의 처음부터 끝까지 정밀한 시스템으로 진행됩니다. 정확한 3차원 구강 스캔, 초정밀 디지털 기공, 그리고 완벽한 치아 결합 기술까지. 구강 내 오차를 최소화하고 보철물의 완성도와 장기 안정성을 극대화합니다.

오차없이 정확한
3차원 구강 스캔

숙련된 기공사의
정밀한 보철물 제작

자연 치아와
빈틈없는 결합
오차 없는 인공지능 구강스캔
3차원 구강 스캔으로 치아를 정밀한 디지털 정보로 전환해 원내 기공센터로 즉시 전송함으로써, 전통적인 본뜨기 과정에서 발생할 수 있는 재료 변형과 이에 따른 오차를 줄였습니다. 3차원 구강 디지털 데이터 전송을 통해 더 빠르고 정확한 보철물 제작을 가능하게 하며, 이러한 첨단 디지털 기술은 치료 시간을 단축할 뿐 아니라, 치료 과정에서 환자의 불편함도 최소화합니다.


고도화된 초정밀 기공 기술
하루플란트치과 자체 디지털 기공센터는 평균 10년 이상의 경력을 가진 기공사들이 숙련된 기술력을 바탕으로, 환자의 치아에 완벽히 맞는 맞춤형 하루네이트를 정밀하게 제작합니다. 이러한 기술력은 환자의 구강 구조와 치아 상태를 세밀하게 분석하고, 최신 디지털 기공 장비와 결합하여 높은 완성도의 결과물을 제공합니다.


자연치아와의 완벽한 결합
잘못된 결합은 세균이 쉽게 번식할 수 있는 환경을 만들어 치아와 잇몸에 큰 문제를 일으킬 수 있습니다. 하루플란트치과는 축적된 경험과 기술을 바탕으로, 치아 경계 부위를 빈틈없이 정확하게 마감하는 하루네이트만의 결합 노하우를 개발했습니다. 이를 통해 세균이 들어갈 틈을 막아 감염이나 염증 같은 문제를 줄이고, 치아와 잇몸 건강을 장기적으로 보호합니다. 하루네이트는 이러한 정밀한 결합 기술로 기능성과 안정성을 동시에 보장합니다.



오차없이 정확한
3차원 구강 스캔
숙련된 기공사의
정밀한 보철물 제작
자연 치아와
빈틈없는 결합

오차없이 정확한
3차원 구강 스캔
숙련된 기공사의
정밀한 보철물 제작
자연 치아와
빈틈없는 결합

오차없이 정확한
3차원 구강 스캔
숙련된 기공사의
정밀한 보철물 제작
자연 치아와
빈틈없는 결합
하루네이트만의
맞춤형 2D·3D·4D 시뮬레이션
하루네이트만의
맞춤형 2D·3D·4D 시뮬레이션
2D 스마일 디자인 시뮬레이션
하루네이트의 스마일 디자인 시뮬레이션은 자신의 얼굴에
어울리는 미소 라인을 찾아줍니다. 10가지 가이드라인을
기반으로 맞춤형 디자인을 제공하며, 개인의 상황에 적합한
최적의 계획과 다양한 옵션을 제시해드립니다.
하루네이트의 스마일 디자인 시뮬레이션은 자신의 얼굴에 어울리는 미소 라인을 찾아줍니다. 10가지 가이드라인을 기반으로 맞춤형 디자인을 제공하며, 개인의 상황에 적합한 최적의 계획과 다양한 옵션을 제시해드립니다.
가이드라인과 2D 시뮬레이션을 통한 치료 계획 수립
가이드라인과 2D 시뮬레이션을 통한
치료 계획 수립




3D 스마일 디자인 시뮬레이션
2D 스마일 디자인 시뮬레이션을 진행한 후, 보다 입체적이고
구체적인 진단을 위해 3D 안모 스캐너와 3D 구강 스캐너를
활용하여 신속하고 효과적인 디지털 진단 모형을 제작합니다.
2D 스마일 디자인 시뮬레이션을 진행한 후, 보다 입체적이고 구체적인 진단을 위해 3D 안모 스캐너와 3D 구강 스캐너를 활용하여 신속하고 효과적인 디지털 진단 모형을 제작합니다.


3D 시뮬레이션 전
3D 시뮬레이션 전
앞니 가로폭에 비해 길이가 길지 않고 치아축이 부채모양으로 뻐드러지고 치아 모양이 삼각형 모양입니다.


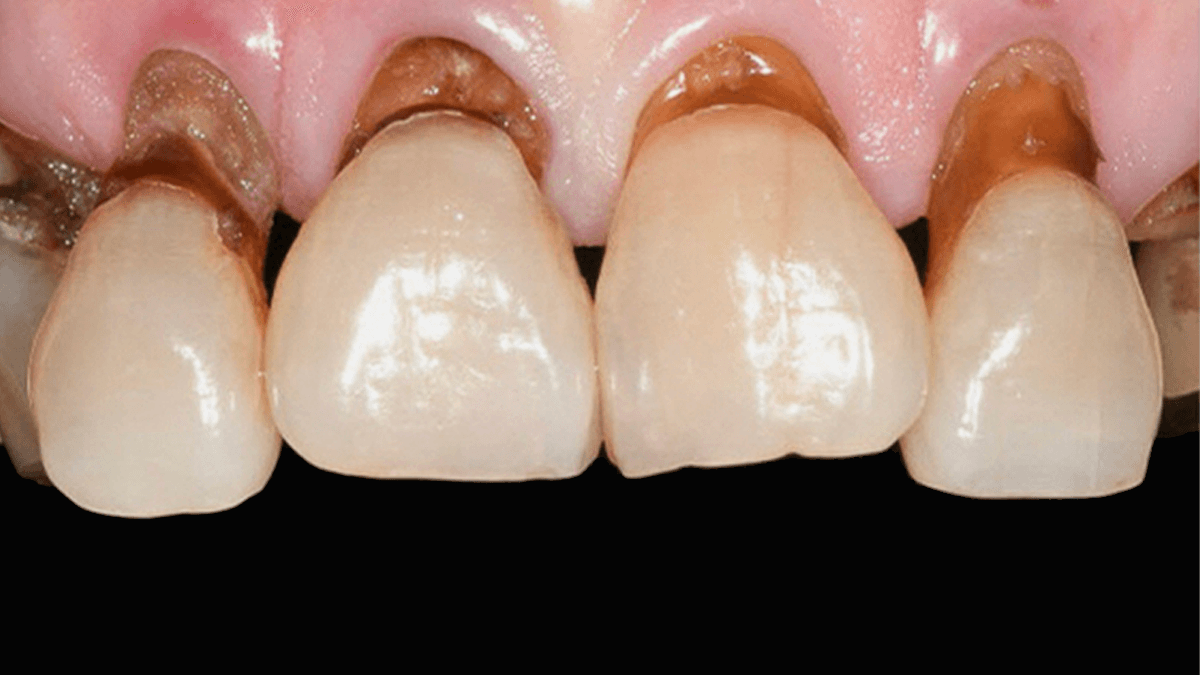
3D 시뮬레이션 후
3D 시뮬레이션 후
디자인하여 변화된 3차원 구강 모형 시뮬레이션-중절치의
잇몸성형으로 길이를 증가시키고 치축 조절, 치아 모양을
이상적인 모양으로 변화시킵니다.
디자인하여 변화된 3차원 구강 모형 시뮬레이션-중절치의 잇몸성형으로 길이를 증가시키고 치축 조절, 치아 모양을 이상적인 모양으로 변화시킵니다.
디자인하여 변화된 3차원 구강 모형 시뮬레이션-중절치의 잇몸성형으로 길이를 증가시키고 치축 조절, 치아 모양을 이상적인 모양으로 변화시킵니다.
3D 시뮬레이션을 위한 디지털 장비


4D 스마일 디자인 시뮬레이션
3D 시뮬레이션 단계에서는 디스플레이와 프리뷰 모델을 통해
상호 소통이 이루어지는 반면, 4D 시뮬레이션 단계에서는 실제
하루네이트에 가까운 결과물을 환자의 입안에 시연하여 마치
실제로 치료를 받은 것 같은 경험을 제공합니다.
3D 시뮬레이션 단계에서는 디스플레이와 프리뷰 모델을 통해 상호 소통이 이루어지는 반면, 4D 시뮬레이션 단계에서는 실제 하루네이트에 가까운 결과물을 환자의 입안에 시연하여 마치 실제로 치료를 받은 것 같은 경험을 제공합니다.
4D 스마일 디자인 시뮬레이션 과정
4D 스마일 디자인 시뮬레이션 과정

3D 모형으로 중절치 잇몸성형과 치아 디자인 형태를 개선

3D 모형으로 중절치 잇몸성형과 치아 디자인 형태를 개선

3D 모형으로 중절치 잇몸성형과
치아 디자인 형태를 개선

변화시킨 치아 모형을 구강 내에서
재현(4D)해보는 과정을 거칩니다.

변화시킨 치아 모형을 구강 내에서
재현(4D)해보는 과정을 거칩니다.

변화시킨 치아 모형을 구강 내에서
재현(4D)해보는 과정을 거칩니다.

치아 형태에 대해 환자와 논의 후,
최종 보철물 제작용 데이터로 변환

치아 형태에 대해 환자와 논의 후,
최종 보철물 제작용 데이터로 변환

치아 형태에 대해 환자와 논의 후,
최종 보철물 제작용 데이터로 변환
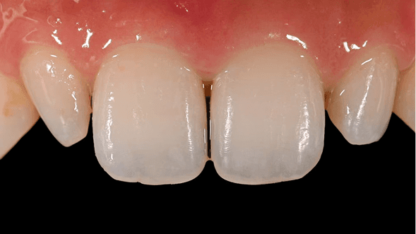
4D 시뮬레이션을 거쳐 완성된 하루네이트
4D 시뮬레이션을 거쳐 완성된 하루네이트


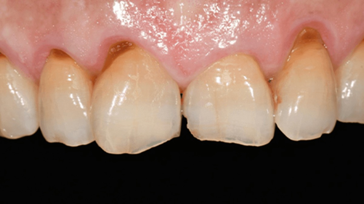
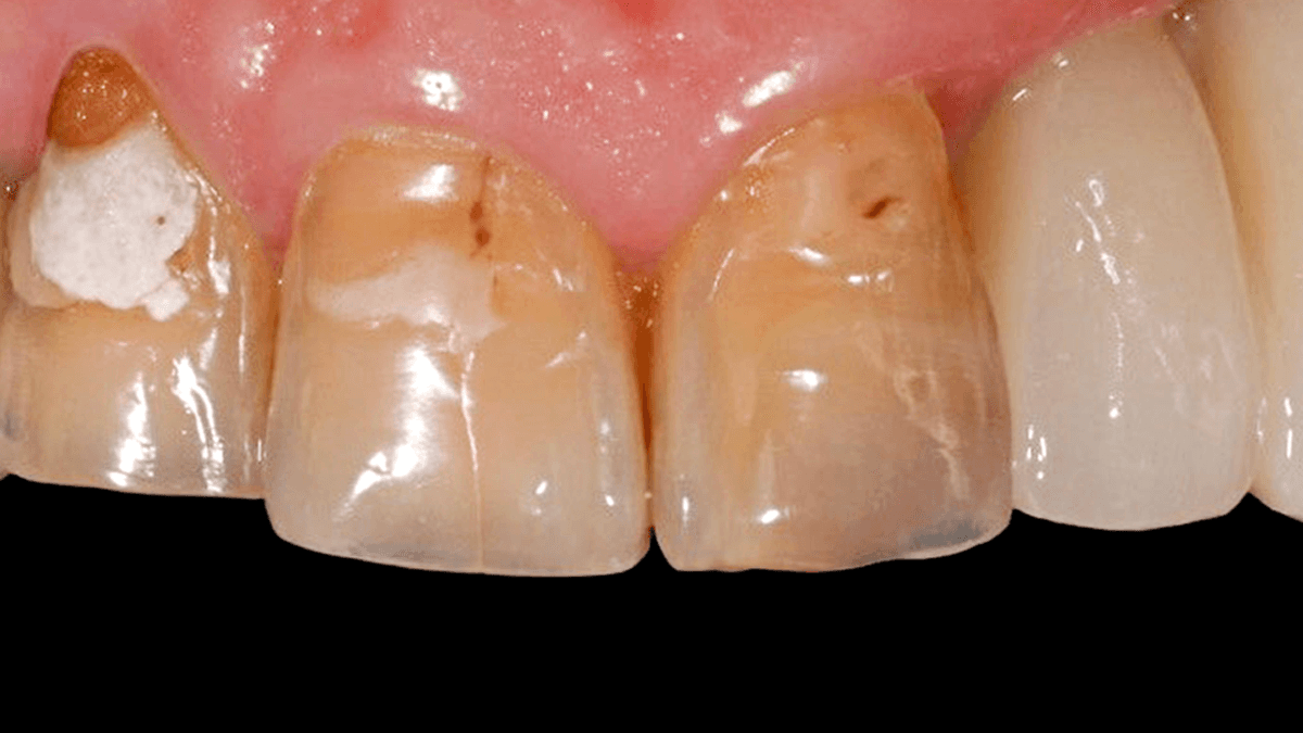
하루네이트 치료 전
하루네이트 치료 전
하루네이트 치료 전

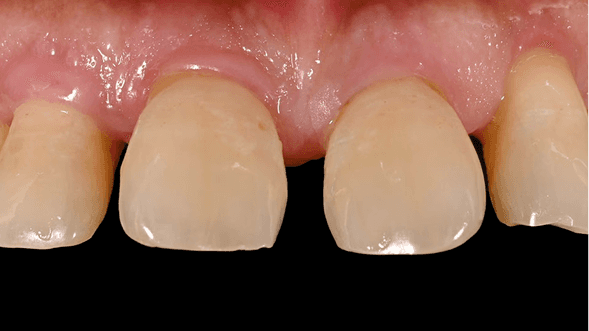
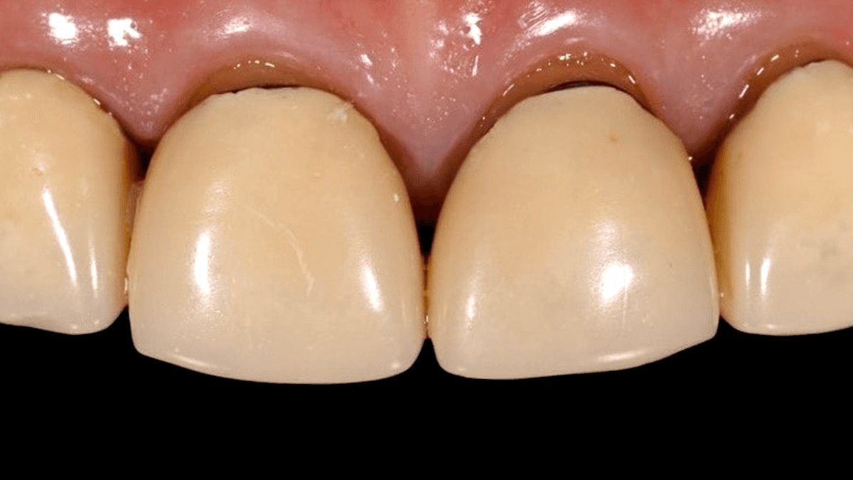
하루네이트 치료 후
하루네이트 치료 후
하루네이트 치료 후
*위 사진은 환자 본인 동의를 얻어 동일 조건에서 촬영 되었습니다. 모든 치료에는 부작용이 발생할 수가 있습니다.
하루네이트 치료 후
어떤 변화가 있었을까요?
하루네이트 치료 후
어떤 변화가 있었을까요?
하루네이트
|
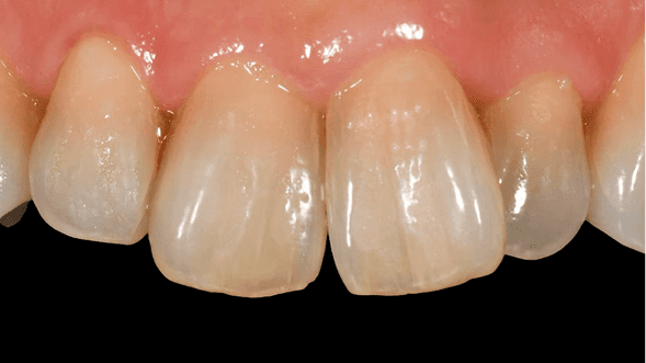
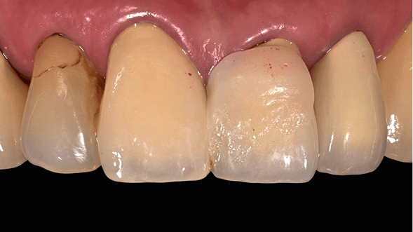
치아의 모양과 변색된 색상을 개선

치료 전

치료 후
*위 사진은 환자 본인 동의를 얻어 동일 조건에서 촬영 되었습니다. 모든 치료에는 부작용이 발생할 수가 있습니다.
하루네이트
|
치아의 모양과 변색된 색상을 개선

치료 전

치료 후
*위 사진은 환자 본인 동의를 얻어 동일 조건에서 촬영 되었습니다. 모든 치료에는 부작용이 발생할 수가 있습니다.
하루네이트
|
치아의 모양과 변색된 색상을 개선

치료 전

치료 후
*위 사진은 환자 본인 동의를 얻어 동일 조건에서 촬영 되었습니다. 모든 치료에는 부작용이 발생할 수가 있습니다.
하루네이트
|
마모된 치아의 모양과 라인을 개선

치료 전

치료 후
*위 사진은 환자 본인 동의를 얻어 동일 조건에서 촬영 되었습니다. 모든 치료에는 부작용이 발생할 수가 있습니다.
하루네이트
|
마모된 치아의 모양과 라인을 개선

치료 전

치료 후
*위 사진은 환자 본인 동의를 얻어 동일 조건에서 촬영 되었습니다. 모든 치료에는 부작용이 발생할 수가 있습니다.
하루네이트
|
마모된 치아의 모양과 라인을 개선

치료 전

치료 후
*위 사진은 환자 본인 동의를 얻어 동일 조건에서 촬영 되었습니다. 모든 치료에는 부작용이 발생할 수가 있습니다.
하루네이트
|
치아의 모양과 라인을 개선

치료 전

치료 후
*위 사진은 환자 본인 동의를 얻어 동일 조건에서 촬영 되었습니다. 모든 치료에는 부작용이 발생할 수가 있습니다.
하루네이트
|
치아의 모양과 라인을 개선

치료 전

치료 후
*위 사진은 환자 본인 동의를 얻어 동일 조건에서 촬영 되었습니다. 모든 치료에는 부작용이 발생할 수가 있습니다.
하루네이트
|
치아의 모양과 라인을 개선

치료 전

치료 후
*위 사진은 환자 본인 동의를 얻어 동일 조건에서 촬영 되었습니다. 모든 치료에는 부작용이 발생할 수가 있습니다.
하루네이트
|
충치 치료, 마모된 치아를 개선

치료 전

치료 후
*위 사진은 환자 본인 동의를 얻어 동일 조건에서 촬영 되었습니다. 모든 치료에는 부작용이 발생할 수가 있습니다.
하루네이트
|
충치 치료, 마모된 치아를 개선

치료 전

치료 후
*위 사진은 환자 본인 동의를 얻어 동일 조건에서 촬영 되었습니다. 모든 치료에는 부작용이 발생할 수가 있습니다.
하루네이트
|
충치 치료, 마모된 치아를 개선

치료 전

치료 후
*위 사진은 환자 본인 동의를 얻어 동일 조건에서 촬영 되었습니다. 모든 치료에는 부작용이 발생할 수가 있습니다.
하루네이트
|
벌어진 치아의 간격을 개선

치료 전

치료 후
*위 사진은 환자 본인 동의를 얻어 동일 조건에서 촬영 되었습니다. 모든 치료에는 부작용이 발생할 수가 있습니다.
하루네이트
|
벌어진 치아의 간격을 개선

치료 전

치료 후
*위 사진은 환자 본인 동의를 얻어 동일 조건에서 촬영 되었습니다. 모든 치료에는 부작용이 발생할 수가 있습니다.
하루네이트
|
벌어진 치아의 간격을 개선

치료 전

치료 후
*위 사진은 환자 본인 동의를 얻어 동일 조건에서 촬영 되었습니다. 모든 치료에는 부작용이 발생할 수가 있습니다.
하루네이트
|
치아의 모양을 개선

치료 전

치료 후
*위 사진은 환자 본인 동의를 얻어 동일 조건에서 촬영 되었습니다. 모든 치료에는 부작용이 발생할 수가 있습니다.
하루네이트
|
치아의 모양을 개선

치료 전

치료 후
*위 사진은 환자 본인 동의를 얻어 동일 조건에서 촬영 되었습니다. 모든 치료에는 부작용이 발생할 수가 있습니다.
하루네이트
|
치아의 모양을 개선

치료 전

치료 후
*위 사진은 환자 본인 동의를 얻어 동일 조건에서 촬영 되었습니다. 모든 치료에는 부작용이 발생할 수가 있습니다.
하루네이트
|
앞니(나비 치아)의 모양과 치아 라인을 개선

치료 전

치료 후
*위 사진은 환자 본인 동의를 얻어 동일 조건에서 촬영 되었습니다. 모든 치료에는 부작용이 발생할 수가 있습니다.
하루네이트
|
앞니(나비 치아)의 모양과 치아 라인을 개선

치료 전

치료 후
*위 사진은 환자 본인 동의를 얻어 동일 조건에서 촬영 되었습니다. 모든 치료에는 부작용이 발생할 수가 있습니다.
하루네이트
|
앞니(나비 치아)의 모양과 치아 라인을 개선

치료 전

치료 후
*위 사진은 환자 본인 동의를 얻어 동일 조건에서 촬영 되었습니다. 모든 치료에는 부작용이 발생할 수가 있습니다.
하루네이트
|
앞니(나비 치아)의 모양과 치아 라인을 개선

치료 전

치료 후
*위 사진은 환자 본인 동의를 얻어 동일 조건에서 촬영 되었습니다. 모든 치료에는 부작용이 발생할 수가 있습니다.
하루네이트
|
앞니(나비 치아)의 모양과 치아 라인을 개선

치료 전

치료 후
*위 사진은 환자 본인 동의를 얻어 동일 조건에서 촬영 되었습니다. 모든 치료에는 부작용이 발생할 수가 있습니다.
하루네이트
|
앞니(나비 치아)의 모양과 치아 라인을 개선

치료 전

치료 후
*위 사진은 환자 본인 동의를 얻어 동일 조건에서 촬영 되었습니다. 모든 치료에는 부작용이 발생할 수가 있습니다.

더 젊고 건강하게
시니어 하루네이트
더 젊고 건강하게
시니어 하루네이트
건강한 치아로
돌아가고 싶었어요
건강한 치아로
돌아가고 싶었어요
시니어 하루네이트는 노화로 약해진 법랑질을 보강하여
단순히 치아 외형을 개선하는 것에 그치지 않고,
치아의 기능적 회복까지 돕는 치료법입니다.
시니어 하루네이트는 노화로 약해진 법랑질을 보강하여 단순히 치아 외형을 개선하는 것에 그치지 않고, 치아의 기능적 회복까지 돕는 치료법입니다.

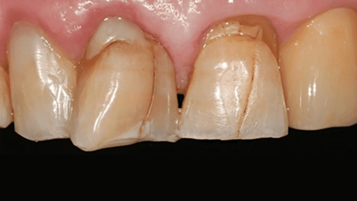
하루네이트 치료 전
하루네이트 치료 전

하루네이트 치료 후
하루네이트 치료 후



하루네이트 치료 전
하루네이트 치료 전

하루네이트 치료 후
하루네이트 치료 후


*위 사진은 환자 본인 동의를 얻어 동일 조건에서 촬영 되었습니다. 모든 치료에는 부작용이 발생할 수가 있습니다.
손상된
법랑질
손상된
법랑질
손상된
법랑질
하루네이트
하루네이트
하루네이트
복구
복구
복구
기능적
기능적
기능적
심미적
심미적
심미적
저작 기능을 향상시키고, 균열이나 마모로 손상된 치아를
효과적으로 복구하여 전반적인 치아 건강과 구강 기능을
개선할 뿐만 아니라, 궁극적으로 삶의 질 향상에도
기여하는 치아 복구 솔루션입니다.
저작 기능을 향상시키고, 균열이나 마모로 손상된 치아를 효과적으로 복구하여 전반적인 치아 건강과 구강 기능을 개선할 뿐만 아니라, 궁극적으로 삶의 질 향상에도 기여하는 치아 복구 솔루션입니다.
치아도 노화한다는 사실
현대 사회에서 급속히 진행되는 고령화와 기대 수명의
연장으로 자연 치아의 건강은 더욱 중요해졌습니다.
치아 건강은 단순한 구강 건강의 문제를 넘어 전반적인 삶의
질과 밀접한 연관이 있습니다. 나이가 들면서 치아와 구강
조직은 자연적으로 노화 과정을 겪게 되는데, 이를 관리하지
않으면 삶의 질에 큰 영향을 미칠 수 있습니다.
현대 사회에서 급속히 진행되는 고령화와 기대 수명의 연장으로 자연 치아의 건강은 더욱 중요해졌습니다. 치아 건강은 단순한 구강 건강의 문제를 넘어 전반적인 삶의 질과 밀접한 연관이 있습니다. 나이가 들면서 치아와 구강 조직은 자연적으로 노화 과정을 겪게 되는데, 이를 관리하지 않으면 삶의 질에 큰 영향을 미칠 수 있습니다.
치아 노화로 인한 변화

치아 노화 01
치아의 두께가 얇아지고 윤곽이 사라지는 등 입체감이 부족해집니다.

치아 노화 01
치아의 두께가 얇아지고 윤곽이 사라지는 등 입체감이 부족해집니다.

치아 노화 02
법랑질이 약해지면 상아질이 드러나기 때문에 치아가 탁하고 누렇게 변색됩니다.

치아 노화 02
법랑질이 약해지면 상아질이 드러나기 때문에 치아가 탁하고 누렇게 변색됩니다.

치아 노화 03
강한 힘이 반복적으로 가해진 치아는 치근 부위에 패임 현상이 발생합니다.

치아 노화 03
강한 힘이 반복적으로 가해진 치아는 치근 부위에 패임 현상이 발생합니다.

치아 노화 04
법랑질이 약해지면 치아 표면의 강도가 약해져 저작력을 견디지 못하고 균열이 생깁니다.

치아 노화 04
법랑질이 약해지면 치아 표면의 강도가 약해져 저작력을 견디지 못하고 균열이 생깁니다.

치아 노화 05
약해진 법랑질로 인해 상아질이 드러나면서 치아 색상이 고르지 않고 탁한 누런빛을 띠게 됩니다.

치아 노화 05
약해진 법랑질로 인해 상아질이 드러나면서 치아 색상이 고르지 않고 탁한 누런빛을 띠게 됩니다.

치아 노화 06
노화와 함께 보철물도 부식되면서 잇몸 경계가 까맣게 드러나고 치아 사이가 벌어집니다.

치아 노화 06
노화와 함께 보철물도 부식되면서 잇몸 경계가 까맣게 드러나고 치아 사이가 벌어집니다.

치아 노화 01
치아의 두께가 얇아지고 윤곽이 사라지는 등 입체감이 부족해집니다.

치아 노화 03
강한 힘이 반복적으로 가해진 치아는 치근 부위에 패임 현상이 발생합니다.

치아 노화 05
약해진 법랑질로 인해 상아질이 드러나면서 치아 색상이 고르지 않고 탁한 누런빛을 띠게 됩니다.

치아 노화 06
노화와 함께 보철물도 부식되면서 잇몸 경계가 까맣게 드러나고 치아 사이가 벌어집니다.

치아 노화 04
법랑질이 약해지면 치아 표면의 강도가 약해져 저작력을 견디지 못하고 균열이 생깁니다.

치아 노화 02
법랑질이 약해지면 상아질이 드러나기 때문에 치아가 탁하고 누렇게 변색됩니다.
치아 건강을 지키는 법랑질

법랑질
/ Enamel
법랑질
/ Enamel
법랑질
/ Enamel
상아질
/ Dentin
상아질
/ Dentin
상아질
/ Dentin
신경
/ Pulp
신경
/ Pulp
신경
/ Pulp
잇몸
잇몸
/ Gingiva
/ Gingiva
잇몸
/ Gingiva
치조골
치조골
/ Bone
/ Bone
치조골
/ Bone
법랑질 소실 시 나타나는 주요 증상
법랑질 소실 시 나타나는
주요 증상
치아 노화는 법랑질의 점진적인 상실에 직접적인 영향을 미칩니다. 시간이 지남에 따라 법랑질은 지속적인 마찰, 산성 물질의 노출, 침식 등의 요인으로 점점 얇아지고 마모되며, 이로 인해 치아 표면이 거칠어지고 상아질(Dentin)이 노출됩니다. 상아질 노출은 치아 민감도를 증가시켜 뜨겁거나 차가운 음식, 단맛, 산성 음료 등 외부 자극에 더 쉽게 반응하게 됩니다. 또한, 법랑질 상실은 치아의 보호 기능을 약화시키며, 충치 발생 위험을 높이고 치아 색이 어두워지거나 누렇게 변색되는 결과를 초래합니다. 이러한 변화는 단순한 심미적 문제를 넘어 치아로 인한 기능적, 정신적 건강에도 큰 영향을 미칩니다.

01
치아 민감도 증가
찬 음식이나 뜨거운 음식, 단 음식, 혹은 바람 등 외부 자극에 대해 치아가 예민하게 반응하면서 통증이나 불편감을 느끼는 현상
01
치아 민감도 증가
찬 음식이나 뜨거운 음식, 단 음식, 혹은 바람 등 외부 자극에 대해 치아가 예민하게 반응하면서 통증이나 불편감을 느끼는 현상
02
치아 변색
치아 변색은 여러 가지 원인에 의해 발생할 수 있으며, 대표적인 원인으로는 음식물이나 음료, 흡연, 나이, 불규칙한 구강 관리, 치아 질환 등으로 치아가 노란색, 갈색, 회색 등으로 변하는 현상을 말합니다.
02
치아 변색
치아 변색은 여러 가지 원인에 의해 발생할 수 있으며, 대표적인 원인으로는 음식물이나 음료, 흡연, 나이, 불규칙한 구강 관리, 치아 질환 등으로 치아가 노란색, 갈색, 회색 등으로 변하는 현상을 말합니다.


03
치아 파손 및 마모
외부 충격이나 강한 압력, 사고 등으로 치아 일부가 깨지거나, 음식이나 음료로 인한 마찰, 불규칙한 교합, 이갈이 등으로 인한 마모는 외관상 문제뿐 아니라 기능에도 영향을 줄 수 있습니다.
03
치아 파손 및 마모
외부 충격이나 강한 압력, 사고 등으로 치아 일부가 깨지거나, 음식이나 음료로 인한 마찰, 불규칙한 교합, 이갈이 등으로 인한 마모는 외관상 문제뿐 아니라 기능에도 영향을 줄 수 있습니다.
04
충치 발생률 증가
충치는 세균이 당분을 분해하면서 발생하는 산에 의해 치아가 부식되는 질환으로, 치아 표면의 마모나 손상이 있을 때 발생률이 더 높아질 수 있습니다.
04
충치 발생률 증가
충치는 세균이 당분을 분해하면서 발생하는 산에 의해 치아가 부식되는 질환으로, 치아 표면의 마모나 손상이 있을 때 발생률이 더 높아질 수 있습니다.


05
치주질환 발생률 증가
치주질환은 보통 잇몸에 염증이 생기면서 시작되며, 염증이 진행되면 치조골까지 영향을 미칩니다. 치조골은 치아를 지탱하는 뼈로, 치아와 잇몸의 건강에 중요한 역할을 합니다.
05
치주질환 발생률 증가
치주질환은 보통 잇몸에 염증이 생기면서 시작되며, 염증이 진행되면 치조골까지 영향을 미칩니다. 치조골은 치아를 지탱하는 뼈로, 치아와 잇몸의 건강에 중요한 역할을 합니다.
06
저작력 약화
법랑질이 건강하고 튼튼해야 치아가 안정적으로 자리잡고 정상적으로 기능할 수 있습니다. 법랑질이 소실되면 치아가 제대로 지지되지 않게 되어, 치아가 흔들리거나 빠질 위험이 커질 수 있습니다.
06
저작력 약화
법랑질이 건강하고 튼튼해야 치아가 안정적으로 자리잡고 정상적으로 기능할 수 있습니다. 법랑질이 소실되면 치아가 제대로 지지되지 않게 되어, 치아가 흔들리거나 빠질 위험이 커질 수 있습니다.

시니어 하루네이트 치료 후
어떤 변화가 있었을까요?
시니어 하루네이트 치료 후
어떤 변화가 있었을까요?
시니어 하루네이트
|
치아 실금과 색상의 개선

치료 전

치료 후
*위 사진은 환자 본인 동의를 얻어 동일 조건에서 촬영 되었습니다. 모든 치료에는 부작용이 발생할 수가 있습니다.
시니어 하루네이트
|
치아 실금과 색상의 개선

치료 전

치료 후
*위 사진은 환자 본인 동의를 얻어 동일 조건에서 촬영 되었습니다. 모든 치료에는 부작용이 발생할 수가 있습니다.
시니어 하루네이트
|
치아 실금과 색상의 개선

치료 전

치료 후
*위 사진은 환자 본인 동의를 얻어 동일 조건에서 촬영 되었습니다. 모든 치료에는 부작용이 발생할 수가 있습니다.
시니어 하루네이트
|
치아의 모양(결손치)을 개선

치료 전

치료 후
*위 사진은 환자 본인 동의를 얻어 동일 조건에서 촬영 되었습니다. 모든 치료에는 부작용이 발생할 수가 있습니다.
시니어 하루네이트
|
치아의 모양(결손치)을 개선

치료 전

치료 후
*위 사진은 환자 본인 동의를 얻어 동일 조건에서 촬영 되었습니다. 모든 치료에는 부작용이 발생할 수가 있습니다.
시니어 하루네이트
|
치아의 모양(결손치)을 개선

치료 전

치료 후
*위 사진은 환자 본인 동의를 얻어 동일 조건에서 촬영 되었습니다. 모든 치료에는 부작용이 발생할 수가 있습니다.
시니어 하루네이트
|
마모된 치아의 모양과 색상을 개선

치료 전

치료 후
*위 사진은 환자 본인 동의를 얻어 동일 조건에서 촬영 되었습니다. 모든 치료에는 부작용이 발생할 수가 있습니다.
시니어 하루네이트
|
마모된 치아의 모양과 색상을 개선

치료 전

치료 후
*위 사진은 환자 본인 동의를 얻어 동일 조건에서 촬영 되었습니다. 모든 치료에는 부작용이 발생할 수가 있습니다.
시니어 하루네이트
|
마모된 치아의 모양과 색상을 개선

치료 전

치료 후
*위 사진은 환자 본인 동의를 얻어 동일 조건에서 촬영 되었습니다. 모든 치료에는 부작용이 발생할 수가 있습니다.
시니어 하루네이트
|
치아의 모양과 색상을 개선

치료 전

치료 후
*위 사진은 환자 본인 동의를 얻어 동일 조건에서 촬영 되었습니다. 모든 치료에는 부작용이 발생할 수가 있습니다.
시니어 하루네이트
|
치아의 모양과 색상을 개선

치료 전

치료 후
*위 사진은 환자 본인 동의를 얻어 동일 조건에서 촬영 되었습니다. 모든 치료에는 부작용이 발생할 수가 있습니다.
시니어 하루네이트
|
치아의 모양과 색상을 개선

치료 전

치료 후
*위 사진은 환자 본인 동의를 얻어 동일 조건에서 촬영 되었습니다. 모든 치료에는 부작용이 발생할 수가 있습니다.
하루네이트
궁금한 점 (FAQ)
Q1.
하루네이트 치료는 얼마나 오래 걸리나요?
Q1.
하루네이트 치료는 얼마나 오래 걸리나요?
Q2.
하루네이트는 어떤 상태의 치아에게 적합한 치료인가요?
Q2.
하루네이트는 어떤 상태의 치아에게 적합한 치료인가요?
Q3.
하루네이트는 정말 치아 삭제 없이 치료가 가능한가요?
Q3.
하루네이트는 정말 치아 삭제 없이 치료가 가능한가요?
Q4.
치아를 삭제하지 않으면 인상이 어색해 보이지 않나요?
Q4.
치아를 삭제하지 않으면 인상이 어색해 보이지 않나요?
Q5.
얇고 가벼운 만큼 내구성이 걱정되는데, 깨지지 않고 오랫동안 쓸 수 있나요?
Q5.
얇고 가벼운 만큼 내구성이 걱정되는데, 깨지지 않고 오랫동안 쓸 수 있나요?
Q6.
하루네이트 치료에 미백 시술도 함께 고려해야 할까요?
Q6.
하루네이트 치료에 미백 시술도 함께 고려해야 할까요?
Q7.
하루네이트 치료 후 특별히 주의해야 할 점은 무엇인가요?
Q7.
하루네이트 치료 후 특별히 주의해야 할 점은 무엇인가요?
Q8.
타 치과에서 시술한 라미네이트를 하루네이트로 교체할 수 있을까요?
Q8.
타 치과에서 시술한 라미네이트를 하루네이트로 교체할 수 있을까요?
하루플란트치과의원
하루플란트치과의원
하루플란트치과의원


