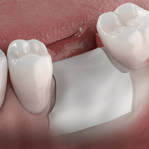
뼈이식 임플란트
잇몸뼈가 부족해도
가능한 임플란트
잇몸뼈를 보강해
안정적으로 심는 임플란트
임플란트는 잇몸뼈 속에 단단히 고정되어야 하기 때문에,
뼈의 '넓이'와 '높이'가 충분해야 안정적인 식립이 가능합니다.
뼈가 부족한 경우, 식립 자체가 어렵거나 실패 위험이
높아지기 때문에 뼈이식을 병행해 임플란트를 심게 됩니다.
특히, 뼈의 높이보다 넓이가 중요합니다. 임플란트를 둘러싼
뼈의 넓이가 충분해야 임플란트 주위염을 예방하고, 장기적으로
건강하게 유지할 수 있습니다.
임플란트는 잇몸뼈 속에 단단히 고정되어야 하기 때문에,뼈의 '넓이'와 '높이'가 충분해야 안정적인 식립이 가능합니다.뼈가 부족한 경우, 식립 자체가 어렵거나 실패 위험이 높아지기 때문에 뼈이식을 병행해 임플란트를 심게 됩니다.
특히, 뼈의 높이보다 넓이가 중요합니다. 임플란트를 둘러싼 뼈의 넓이가 충분해야 임플란트 주위염을 예방하고, 장기적으로건강하게 유지할 수 있습니다.
뼈이식 임플란트가 필요한 경우는?
뼈이식 임플란트가 필요한 경우는?
발치 즉시 임플란트를 식립할 때
치아를 발치한 직후 뼈가 불안정해, 안정적인 임플란트 식립을 위해 뼈이식을 병행하는 경우
발치 즉시 임플란트를 식립할 때
치아를 발치한 직후 뼈가 불안정해, 안정적인 임플란트 식립을 위해 뼈이식을 병행하는 경우
발치 즉시 임플란트를 식립할 때
치아를 발치한 직후 뼈가 불안정해, 안정적인 임플란트 식립을 위해 뼈이식을 병행하는 경우
잇몸뼈의 폭이 좁거나 높이가 부족할 때
선천적 또는 후천적 요인으로 잇몸뼈가 얇거나 낮아, 임플란트 식립이 어려운 경우
잇몸뼈의 폭이 좁거나 높이가 부족할 때
선천적 또는 후천적 요인으로 잇몸뼈가 얇거나 낮아, 임플란트 식립이 어려운 경우
잇몸뼈의 폭이 좁거나 높이가 부족할 때
선천적 또는 후천적 요인으로 잇몸뼈가 얇거나 낮아, 임플란트 식립이 어려운 경우
치아 상실 후 장기간 방치된 경우
치아가 빠진 뒤 오랜 시간이 지나, 뼈가 점점 흡수되어 잇몸뼈가 얇아진 경우
치아 상실 후 장기간 방치된 경우
치아가 빠진 뒤 오랜 시간이 지나, 뼈가 점점 흡수되어 잇몸뼈가 얇아진 경우
치아 상실 후 장기간 방치된 경우
치아가 빠진 뒤 오랜 시간이 지나, 뼈가 점점 흡수되어 잇몸뼈가 얇아진 경우
치주질환 등으로 뼈가 손상된 경우
치주염으로 인해 치아 주변 뼈가 녹거나 파괴된 경우
치주질환 등으로 뼈가 손상된 경우
치주염으로 인해 치아 주변 뼈가 녹거나 파괴된 경우
치주질환 등으로 뼈가 손상된 경우
치주염으로 인해 치아 주변 뼈가 녹거나 파괴된 경우
틀니를 오래 사용한 경우
장기간 틀니 사용으로, 씹는 힘이 제대로 전달되지 않아 잇몸뼈가 흡수되고 약해졌을 때
틀니를 오래 사용한 경우
장기간 틀니 사용으로, 씹는 힘이 제대로 전달되지 않아 잇몸뼈가 흡수되고 약해졌을 때
틀니를 오래 사용한 경우
장기간 틀니 사용으로, 씹는 힘이 제대로 전달되지 않아 잇몸뼈가 흡수되고 약해졌을 때
상악동과 가까운 위턱 어금니 부위
상악동과 인접해 뼈의 높이가 부족하여, 상악동 거상술과 뼈이식이 필요한 경우
상악동과 가까운 위턱 어금니 부위
상악동과 인접해 뼈의 높이가 부족하여, 상악동 거상술과 뼈이식이 필요한 경우
상악동과 가까운 위턱 어금니 부위
상악동과 인접해 뼈의 높이가 부족하여, 상악동 거상술과 뼈이식이 필요한 경우
사고나 외상으로 턱뼈가 손상된 경우
교통사고, 낙상 등 외부 충격으로 치아와 함께 턱뼈가 손상되었을 때, 손상 부위 재건이 필요한 경우
사고나 외상으로 턱뼈가 손상된 경우
교통사고, 낙상 등 외부 충격으로 치아와 함께 턱뼈가 손상되었을 때, 손상 부위 재건이 필요한 경우
사고나 외상으로 턱뼈가 손상된 경우
교통사고, 낙상 등 외부 충격으로 치아와 함께 턱뼈가 손상되었을 때, 손상 부위 재건이 필요한 경우
위 모든 원인이 단독으로, 혹은 복합적으로 작용하는
경우도 많기 때문에 정확한 진단과 맞춤 계획이 필요합니다.
뼈이식의 필요성과 이식량은 환자마다 다를 수 있어
반드시 개별 진단이 선행되어야 합니다.
위 모든 원인이 단독으로, 혹은 복합적으로 작용하는 경우도 많기 때문에 정확한 진단과 맞춤 계획이 필요합니다.뼈이식의 필요성과 이식량은 환자마다 다를 수 있어 반드시 개별 진단이 선행되어야 합니다.
뼈이식 임플란트
어떻게 진행되나요?
대부분의 경우, 뼈이식과 임플란트 식립은 동시에 진행됩니다.
이는 전체의 약 95% 이상을 차지하는 일반적인 방식이며
예외적으로, 먼저 뼈이식만 시행한 뒤 수개월 후에 임플란트를
식립하는 경우도 있습니다.
대부분의 경우, 뼈이식과 임플란트 식립은 동시에 진행됩니다. 이는 전체의 약 95% 이상을 차지하는 일반적인 방식이며 예외적으로, 먼저 뼈이식만 시행한 뒤 수개월 후에 임플란트를 식립하는 경우도 있습니다.
01
01
01
뼈이식 + 임플란트 동시 식립
잇몸뼈가 부족한 경우에도 대부분의 상황에서는
뼈이식과 임플란트를 동시에 진행할 수 있습니다.
뼈가 재생될 수 있는 환경을 조성하면서, 동시에 임플란트를
심는 방식으로 치료 기간을 단축하고 수술 횟수도 줄일 수 있어
환자의 부담이 적은 장점이 있습니다.
잇몸뼈가 부족한 경우에도 대부분의 상황에서는뼈이식과 임플란트를 동시에 진행할 수 있습니다. 뼈가 재생될 수 있는 환경을 조성하면서, 동시에 임플란트를 심는 방식으로 치료 기간을 단축하고 수술 횟수도 줄일 수 있어 환자의 부담이 적은 장점이 있습니다.

01
부족한 부위에 인공뼈 이식
잇몸뼈의 넓이나 높이가 부족한 부위에 인공뼈(골이식재)를 채워 넣어 임플란트를 식립할 수 있는 공간을 만듭니다.

01
부족한 부위에 인공뼈 이식
잇몸뼈의 넓이나 높이가 부족한 부위에 인공뼈(골이식재)를 채워 넣어 임플란트를 식립할 수 있는 공간을 만듭니다.

01
부족한 부위에 인공뼈 이식
잇몸뼈의 넓이나 높이가 부족한 부위에 인공뼈(골이식재)를 채워 넣어 임플란트를 식립할 수 있는 공간을 만듭니다.

02
잇몸뼈에 임플란트를 식립
이식한 뼈에 충분한 고정력이 확보될 경우, 뼈이식과 동시에 임플란트를 심어 수술을 한 번에 마무리할 수 있습니다. 수술 횟수 감소와 빠른 회복이 큰 장점입니다.

02
잇몸뼈에 임플란트를 식립
이식한 뼈에 충분한 고정력이 확보될 경우, 뼈이식과 동시에 임플란트를 심어 수술을 한 번에 마무리할 수 있습니다. 수술 횟수 감소와 빠른 회복이 큰 장점입니다.

02
잇몸뼈에 임플란트를 식립
이식한 뼈에 충분한 고정력이 확보될 경우, 뼈이식과 동시에 임플란트를 심어 수술을 한 번에 마무리할 수 있습니다. 수술 횟수 감소와 빠른 회복이 큰 장점입니다.

03
이식한 뼈 위에 차폐막을 덮어 고정
차폐막은 이식한 뼈 위를 덮어 외부 자극이나 잇몸세포 침입을 막고, 뼈가 제대로 자랄 수 있도록 안정된 환경을 만들어줍니다.

03
이식한 뼈 위에 차폐막을 덮어 고정
차폐막은 이식한 뼈 위를 덮어 외부 자극이나 잇몸세포 침입을 막고, 뼈가 제대로 자랄 수 있도록 안정된 환경을 만들어줍니다.

03
이식한 뼈 위에 차폐막을 덮어 고정
차폐막은 이식한 뼈 위를 덮어 외부 자극이나 잇몸세포 침입을 막고, 뼈가 제대로 자랄 수 있도록 안정된 환경을 만들어줍니다.
02
02
02
뼈이식 먼저, 임플란트는 나중에
임플란트를 바로 심기 어려운 경우, 안전을 위해 단계적으로
진행합니다. 잇몸뼈가 지나치게 얇거나 낮아서 임플란트를
심을 수 없을 정도로 고정력이 확보되지 않는 경우, 또는
상악동이나 신경관처럼 민감한 해부학적 구조물과 너무 가까운
경우에는 먼저 뼈이식만 시행한 뒤, 뼈가 충분히 재생된 후
수개월 후에 임플란트를 식립하는 2단계 접근법이 필요합니다.
임플란트를 바로 심기 어려운 경우, 안전을 위해 단계적으로 진행합니다. 잇몸뼈가 지나치게 얇거나 낮아서 임플란트를 심을 수 없을 정도로 고정력이 확보되지 않는 경우, 또는 상악동이나 신경관처럼 민감한 해부학적 구조물과 너무 가까운 경우에는 먼저 뼈이식만 시행한 뒤, 뼈가 충분히 재생된 후 수개월 후에 임플란트를 식립하는 2단계 접근법이 필요합니다.
01
부족한 부위에 인공뼈 이식
임플란트를 심기에는 뼈가 너무 얇거나 낮은 경우, 우선 인공뼈를 이식해 충분한 골량을 확보합니다.

01
부족한 부위에 인공뼈 이식
임플란트를 심기에는 뼈가 너무 얇거나 낮은 경우, 우선 인공뼈를 이식해 충분한 골량을 확보합니다.

01
부족한 부위에 인공뼈 이식
임플란트를 심기에는 뼈가 너무 얇거나 낮은 경우, 우선 인공뼈를 이식해 충분한 골량을 확보합니다.

02
차폐막을 덮어 뼈재생 환경을 조성
이식한 뼈 위에 차폐막을 씌워 안정적인 치유 환경을 만들어주고, 뼈가 제대로 형성되도록 돕습니다.

02
차폐막을 덮어 뼈재생 환경을 조성
이식한 뼈 위에 차폐막을 씌워 안정적인 치유 환경을 만들어주고, 뼈가 제대로 형성되도록 돕습니다.

02
차폐막을 덮어 뼈재생 환경을 조성
이식한 뼈 위에 차폐막을 씌워 안정적인 치유 환경을 만들어주고, 뼈가 제대로 형성되도록 돕습니다.

03
수개월 간 치유기간 확보
일반적으로 3~6개월의 회복기간 동안 뼈가 안정적으로 자라도록 기다립니다.

03
수개월 간 치유기간 확보
일반적으로 3~6개월의 회복기간 동안 뼈가 안정적으로 자라도록 기다립니다.

03
수개월 간 치유기간 확보
일반적으로 3~6개월의 회복기간 동안 뼈가 안정적으로 자라도록 기다립니다.

04
충분한 뼈 형성 후 임플란트를 식립
뼈가 잘 재생된 것이 확인되면, 그 부위에 임플란트를 심어 안정적인 고정과 기능을 완성합니다. 복잡한 상황에서도 안전하게 치료를 완성할 수 있는 방법입니다.

04
충분한 뼈 형성 후 임플란트를 식립
뼈가 잘 재생된 것이 확인되면, 그 부위에 임플란트를 심어 안정적인 고정과 기능을 완성합니다. 복잡한 상황에서도 안전하게 치료를 완성할 수 있는 방법입니다.

04
충분한 뼈 형성 후 임플란트를 식립
뼈가 잘 재생된 것이 확인되면, 그 부위에 임플란트를 심어 안정적인 고정과 기능을 완성합니다. 복잡한 상황에서도 안전하게 치료를 완성할 수 있는 방법입니다.

뼈이식 시, 차폐막의 역할
차폐막은 뼈이식 수술에서 매우 중요한 요소로, 특히 잇몸뼈의 외형을 넓히는 고난도 수술일수록 필수적으로 사용됩니다. 차폐막의 사용 여부는 수술의 난이도와 비용에도 큰 영향을 미치며, 이식된 뼈의 치유와 재생을 돕는 핵심적인 역할을 합니다.
차폐막은 골재생유도술(GBR, Guided Bone Regeneration) 및 임플란트 수술에서 사용되는 생체 재료로, 이식 부위를 외부 자극으로부터 보호하고, 연조직이 침입하지 못하도록 차단하여 새로운 뼈가 안정적으로 형성되도록 돕습니다.


차폐막은 이식된 뼈의 성공적인 치유와 재생을
돕는 데 있어 핵심적인 역할을 합니다.
차폐막은 이식된 뼈의 성공적인 치유와 재생을 돕는 데 있어 핵심적인 역할을 합니다.
차폐막은 이식된 뼈의 성공적인 치유와 재생을 돕는 데 있어 핵심적인 역할을 합니다.

정확한 진단이 좌우하는 뼈이식 임플란트
정확한 진단이 좌우하는
뼈이식 임플란트
뼈이식 임플란트
맞춤형 계획이 필요한 이유
뼈이식은 단순히 부족한 뼈를 채워 넣는 것이 아니라
환자의 상태와 필요에 맞춘 정교한 계획이 수반되는 과정으로,
임플란트의 성공률은 물론, 장기적인 안정성을 결정짓는
중요한 절차입니다.
뼈이식은 단순히 부족한 뼈를 채워 넣는 것이 아니라환자의 상태와 필요에 맞춘 정교한 계획이 수반되는 과정으로, 임플란트의 성공률은 물론, 장기적인 안정성을 결정짓는 중요한 절차입니다.

흔히 ‘뼈이식’이라는 말로 모든 임플란트 뼈이식술을
하나처럼 뭉뚱그려 표현하지만, 이는 잘못된 접근입니다.
잇몸뼈를 소량만 보강하면 되는 경우와 광범위하게 이식이
필요한 경우는 수술의 난이도나 소요되는 시간, 비용 면에서
각각 큰 차이가 있습니다.
하치조신경과의 거리가 2~3mm에 불과한 부위처럼,
뼈의 높이를 증가시켜야 하는 고난도 뼈이식은 매우 정밀하고
복잡한 수술로 높은 기술력과 비용이 요구됩니다.
반면, 잇몸뼈의 구조가 비교적 온전한 부위에 가볍게
진행하는 단순 뼈이식은 난이도와 비용 모두 낮은 편입니다.
따라서, 각 부위별 해부학적 구조와 개인의 상태에 따라
맞춤형 진단과 계획이 선행되어야 합니다.
흔히 ‘뼈이식’이라는 말로 모든 임플란트 뼈이식술을하나처럼 뭉뚱그려 표현하지만, 이는 잘못된 접근입니다. 잇몸뼈를 소량만 보강하면 되는 경우와 광범위하게 이식이 필요한 경우는 수술의 난이도나 소요되는 시간, 비용 면에서 각각 큰 차이가 있습니다.
하치조신경과의 거리가 2~3mm에 불과한 부위처럼,뼈의 높이를 증가시켜야 하는 고난도 뼈이식은 매우 정밀하고 복잡한 수술로 높은 기술력과 비용이 요구됩니다.반면, 잇몸뼈의 구조가 비교적 온전한 부위에 가볍게 진행하는 단순 뼈이식은 난이도와 비용 모두 낮은 편입니다. 따라서, 각 부위별 해부학적 구조와 개인의 상태에 따라 맞춤형 진단과 계획이 선행되어야 합니다.
하치조신경이 중요한 이유
하치조신경은 아래턱 치아와 입술, 턱 부위의 감각을 담당하는 신경으로, 하악골 내부의 하치조관을 따라 주행합니다. 이 신경은 임플란트 식립, 발치, 또는 턱뼈 관련 수술에서 반드시 고려해야 할 중요한 해부학적 구조로, 손상될 경우 하순과 하악 치아에 감각 이상이나 저림, 통증 등의 증상이 발생할 수 있습니다. 따라서 정확한 CT 진단을 통해 하치조신경의 위치와 주행 경로를 사전에 파악하고, 임플란트를 식립할 때는 신경과 최소 2~3mm 이상의 안전 거리를 확보하는 것이 매우 중요합니다.

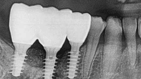
뼈이식의 분류
뼈이식은 잇몸뼈의 외부 넓이와 높이를 보강하는 일반적인
뼈이식술과 위턱 어금니 부위에서 상악동 내부의 높이를 늘리는 상악동 내 골이식술(상악동 거상술)로 분류됩니다.
뼈이식은 잇몸뼈의 외부 넓이와 높이를 보강하는 일반적인 뼈이식술과 위턱 어금니 부위에서 상악동 내부의 높이를 늘리는 상악동 내 골이식술(상악동 거상술)로 분류됩니다.
뼈이식은 잇몸뼈의 외부 넓이와 높이를 보강하는 일반적인
뼈이식술과 위턱 어금니 부위에서 상악동 내부의 높이를 늘리는
상악동 내 골이식술(상악동 거상술)로 분류됩니다.
01
01
01
잇몸뼈의 외부 높이와
넓이를 증강시키는 뼈이식술
잇몸뼈 증강을 위한 뼈이식술은 임플란트를 안정적으로
식립하기 위해, 부족한 잇몸뼈의 외부 높이와 넓이를 보강하는
수술입니다. 치아를 오래 방치했거나, 잇몸뼈가 선천적으로 얇은
경우에 필요하며, 건강한 뼈 지지 기반을 형성해 임플란트의
성공률과 장기 안정성을 높여줍니다.
잇몸뼈 증강을 위한 뼈이식술은 임플란트를 안정적으로 식립하기 위해, 부족한 잇몸뼈의 외부 높이와 넓이를 보강하는 수술입니다. 치아를 오래 방치했거나, 잇몸뼈가 선천적으로 얇은 경우에 필요하며, 건강한 뼈 지지 기반을 형성해 임플란트의 성공률과 장기 안정성을 높여줍니다.
잇몸뼈의 외부 높이와 넓이를
증강시키는 뼈이식술(노출형)
잇몸뼈의 외부 높이와 넓이를
증강시키는 뼈이식술(노출형)




뼈이식 전 CT단면
뼈이식 전
CT단면



노출형 뼈이식 후 CT 단면



뼈이식 최종 완성 후 CT 단면
잇몸뼈의 외부 높이와 넓이를
증강시키는 뼈이식술(비노출형)
잇몸뼈의 외부 높이와 넓이를
증강시키는 뼈이식술(비노출형)




뼈이식 전 CT단면
뼈이식 전
CT단면



비노출형 뼈이식 후 CT 단면



뼈이식 최종 완성 후 CT 단면
무절개 임플란트에서 잇몸뼈의
외부 높이와 넓이를 증강시키는 뼈이식술
무절개 임플란트에서 잇몸뼈의
외부 높이와 넓이를 증강시키는 뼈이식술




뼈이식 전 무절개 임플란트 식립만 한 단계



뼈이식 완성 후 최종 보철 후 단계
(안정된 뼈이식 성공적 결과)
뼈이식 완성 후
최종 보철 후 단계
(안정된 뼈이식 성공적 결과)
02
02
02
상악동 골이식술
상악동은 위턱 어금니 부위에 위치한 공기로 채워진 공간으로, 임플란트 식립 및 골이식 시 매우 중요한 해부학적 구조입니다.
치아 상실 후 시간이 지나면 상악동 바닥이 점차 내려오고
치조골이 얇아져 임플란트를 심기 어려워질 수 있는데 이 경우, 상악동 골이식술을 통해 부족한 뼈를 보충하고 상악동 바닥을 들어올려 임플란트 식립을 가능하게 만들 수 있습니다.
상악동은 위턱 어금니 부위에 위치한 공기로 채워진 공간으로, 임플란트 식립 및 골이식 시 매우 중요한 해부학적 구조입니다.
치아 상실 후 시간이 지나면 상악동 바닥이 점차 내려오고 치조골이 얇아져 임플란트를 심기 어려워질 수 있는데 이 경우, 상악동 골이식술을 통해 부족한 뼈를 보충하고 상악동 바닥을 들어올려 임플란트 식립을 가능하게 만들 수 있습니다.
상악동 골이식술은 수직 거상술과 측방 거상술로 나뉘며,
잇몸뼈가 부족하거나 수술 부위가 넓은 경우에는
측방 상악동 거상술이 시행됩니다.
상악동 골이식술은 수직 거상술과 측방 거상술로 나뉘며,잇몸뼈가 부족하거나 수술 부위가 넓은 경우에는 측방 상악동 거상술이 시행됩니다.


수직 상악동 거상술


측방 상악동 거상술
상악동 거상술의 두 가지 방법
측방 상악동 거상술(Lateral Sinus Lift)
잇몸뼈가 심하게 부족하거나 수술 부위가 넓은 경우 시행됩니다.
상악동 측벽에 창을 만들어 상악동막(Schneiderian membrane)을 조심스럽게 들어 올리고, 그 공간에 골이식재를 채워 뼈의 높이를 확보합니다. 주로 치조골 높이가 4~5mm 이하일 때 적용되며, 숙련된 기술이 요구되지만 성공률이 매우 높은 편입니다.
수직 상악동 거상술(Vertical Sinus Lift)
치조골의 높이가 약간 부족한 경우, 임플란트 삽입 부위에서 직접 상악동막을 들어 올려 그 공간에 골이식재를 주입하는 방식입니다. 잔존골이 4~5mm 이상 남아 있을 때 사용되며, 침습이 적고 회복도 빠른 편이라 비교적 간단한 상악동 거상술로 분류됩니다.
상악동 뼈이식술은 반드시 적절한 뼈이식재와 함께 차폐막을 사용하는 것이 중요하며 숙련된 테크닉이 더해질 경우,
장기적으로 매우 안정적인 결과를 기대할 수 있습니다.
일반적인 뼈이식술에 비해 수술이 비교적 수월하고,
회복 과정에서의 불편감도 적은 편입니다. 수술이 적절히
이루어지면 일상으로의 복귀 역시 빠른 편입니다.
상악동 뼈이식술은 반드시 적절한 뼈이식재와 함께 차폐막을 사용하는 것이 중요하며 숙련된 테크닉이 더해질 경우, 장기적으로 매우 안정적인 결과를 기대할 수 있습니다.
일반적인 뼈이식술에 비해 수술이 비교적 수월하고,
회복 과정에서의 불편감도 적은 편입니다. 수술이 적절히 이루어지면 일상으로의 복귀 역시 빠른 편입니다.
상악동 뼈이식술은 반드시 적절한 뼈이식재와 함께 차폐막을 사용하는 것이 중요하며
숙련된 테크닉이 더해질 경우,장기적으로 매우 안정적인 결과를 기대할 수 있습니다.
일반적인 뼈이식술에 비해 수술이 비교적 수월하고,
회복 과정에서의 불편감도 적은 편입니다. 수술이 적절히
이루어지면 일상으로의 복귀 역시 빠른 편입니다.



상악동 골이식 전 모습



상악동 골이식 후 모습



상악동 골이식 전 엑스레이



상악동 골이식 후 엑스레이
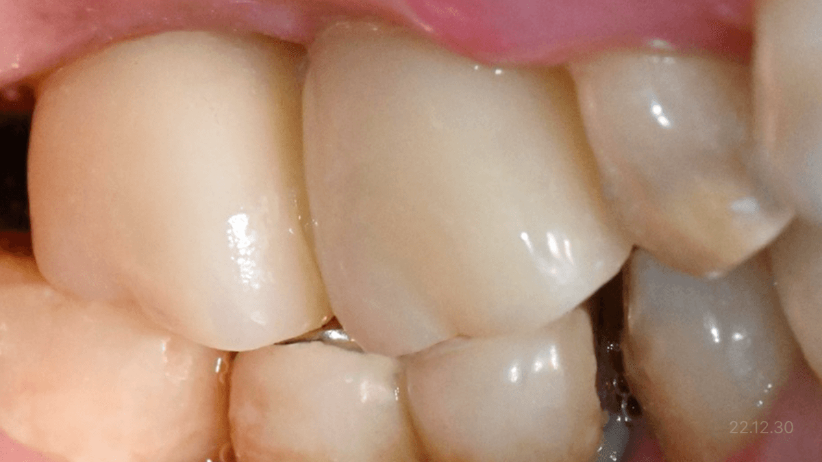
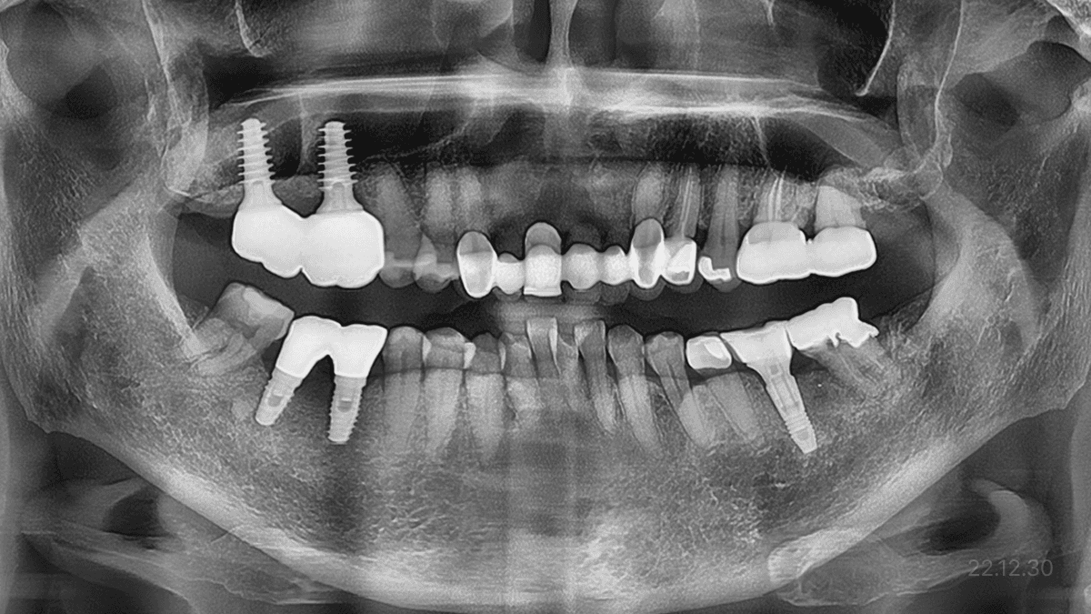
뼈이식 임플란트 치료 후
어떤 변화가 있었을까요?
뼈이식 · 전체 임플란트
잇몸뼈 부족 · 타 치과 임플란트 불가판정 · 장기간 틀니 사용












*위 사진은 환자 본인 동의를 얻어 동일 조건에서 촬영 되었습니다. 모든 치료에는 부작용이 발생할 수가 있습니다.
*위 사진은 환자 본인 동의를 얻어 동일 조건에서 촬영 되었습니다. 모든 치료에는 부작용이 발생할 수가 있습니다.
*위 사진은 환자 본인 동의를 얻어 동일 조건에서 촬영 되었습니다. 모든 치료에는 부작용이 발생할 수가 있습니다.
무절개 전용 임플란트 · 절개형 뼈이식 접목
무절개 전용 임플란트 ·
절개형 뼈이식 접목
극심한 잇몸뼈 소실












*위 사진은 환자 본인 동의를 얻어 동일 조건에서 촬영 되었습니다. 모든 치료에는 부작용이 발생할 수가 있습니다.
*위 사진은 환자 본인 동의를 얻어 동일 조건에서 촬영 되었습니다. 모든 치료에는 부작용이 발생할 수가 있습니다.
*위 사진은 환자 본인 동의를 얻어 동일 조건에서 촬영 되었습니다. 모든 치료에는 부작용이 발생할 수가 있습니다.
상악동 거상술 · 무절개 임플란트
상악동 거상술 ·
무절개 임플란트
상악동 거상술 · 무절개 임플란트
상악동 격벽 · 매우 얇은 잔존뼈












*위 사진은 환자 본인 동의를 얻어 동일 조건에서 촬영 되었습니다. 모든 치료에는 부작용이 발생할 수가 있습니다.
뼈이식 임플란트
궁금한 점 (FAQ)
Q1.
뼈이식이 필요한 경우는 언제인가요?
Q1.
뼈이식이 필요한 경우는 언제인가요?
Q1.
뼈이식이 필요한 경우는 언제인가요?
Q2.
뼈이식과 임플란트를 한 번에 할 수 있나요?
Q2.
뼈이식과 임플란트를 한 번에 할 수 있나요?
Q2.
뼈이식과 임플란트를 한 번에 할 수 있나요?
Q3.
뼈이식은 아프거나 힘든 과정인가요?
Q3.
뼈이식은 아프거나 힘든 과정인가요?
Q3.
뼈이식은 아프거나 힘든 과정인가요?
Q4.
차폐막은 꼭 사용해야 하나요?
Q4.
차폐막은 꼭 사용해야 하나요?
Q4.
차폐막은 꼭 사용해야 하나요?
Q5.
뼈이식을 받으면 오래 유지되나요?
Q5.
뼈이식을 받으면 오래 유지되나요?
Q5.
뼈이식을 받으면 오래 유지되나요?
Q6.
뼈이식이 실패할 수도 있나요?
Q6.
뼈이식이 실패할 수도 있나요?
Q6.
뼈이식이 실패할 수도 있나요?
Q7.
뼈이식 후 식사나 생활 습관에서 주의할 점이 있나요?
Q7.
뼈이식 후 식사나 생활 습관에서 주의할 점이 있나요?
Q7.
뼈이식 후 식사나 생활 습관에서 주의할 점이 있나요?
Q8.
뼈이식 비용은 얼마나 들까요?
Q8.
뼈이식 비용은 얼마나 들까요?
Q8.
뼈이식 비용은 얼마나 들까요?
하루플란트치과의원
하루플란트치과의원
하루플란트치과의원
